Tuberculous peritonitis in peritoneal dialysis: report of three cases
DOI:
https://doi.org/10.25796/bdd.v5i1.64573Keywords:
Peritonitis, Tuberculosis, Peritoneal dialysis, GeneXpertAbstract
Tuberculous peritonitis is a rare but dreaded complication in peritoneal dialysis.
We report three cases of tuberculous peritonitis diagnosed in our PD center at over a period of 15 years.
They are a woman and two men aged 50, 45 and 64 respectively.
The diagnosis of tuberculous peritonitis was suspected in front of a many of clinical (AEG, abdominal pain, cloudy liquid), biological (inflammatory syndrome, the dialysate liquid with lymphocyte predominance and negative culture) and or radiological (abdominal lymphadenopathy) arguments.
It was confirmed by the demonstration of Mycobacterium Tuberculosis in the dialysate by GeneXpert or by culture on LOWENSTEIN Jensen medium in 2 cases, and the characteristic appearance on anatomopathological examination in only 1 case.
The evolution under antituberculous treatment was favorable, with recourse to the ablation of
The diagnosis of tuberculous peritonitis in peritoneal dialysis is difficult and often late because the clinical signs is non-specific. It should be considered in the presence of any culture-negative peritonitis that is refractory to empirical treatment.
Bacteriological or histological confirmation should not delay the start of anti-tuberculosis treatment because early diagnosis and rapid initiation of treatment are the keys to recovery and the only guarantee of a good prognosis.
INTRODUCTION
Infectious peritonitis (IP) is a frequent complication in peritoneal dialysis (PD)[1]. It is the leading cause of transfer to hemodialysis, repeated hospitalizations and increased mortality[2].
Tuberculous peritonitis (PT) is rare (<3%)[3].[4], but serious. Its clinical picture is nonspecific, so the diagnosis is often late, hence the interest in specific tests for the detection of mycobacteria.
We report three cases of PT diagnosed at our PD center over a 15-year period.
CLINICAL OBSERVATIONS
Case 1:
Mrs. B. N., aged 50, in PD for lithiasic nephropathy since August 2009.
The patient was hospitalized in March 2010 for abdominal pain and diarrhea with cloudy dialysate fluid. All symptoms evolved in a context of fever and deterioration of general condition (DGC) with asthenia, anorexia and weight loss (AWL) estimated at 2 kg in 1 month.
The assessment at admission objectified:
- An inflammatory syndrome consisting of hyperleucocytosis at 12,000 elements/mm3 with lymphopenia at 800 elements/mm3 and C-reactive protein (CRP) at 270 mg/l
- Cytobacteriological examination of the dialysate showed leukocytes at 300 cells/mm3, predominantly lymphocyte. Direct examination and culture were negative. The search for Koch’s bacillus was negative on direct examination.
- An unusual spontaneous hypercalcemia at 2.89 mmol/l knowing that the calcium concentration of the dialysate is at 1.25 mmol/L
Abdominal CT showed thin parieto-colonic partitions and at the level of the pouch of Douglas with multiple adenopathies in magma at the level of the hepatic and lumboaortic hilum with a necrotic appearance. The diagnosis of peritoneal tuberculosis was retained in the presence of a bundle of clinical (DGC), biological (lymphopenia, hypercalcemia, hypercellularity of the dialysate with lymphocyte predominance) and radiological (adenopathies with necrotic appearance) arguments. Antituberculosis treatment was started, based on the combination of rifampicin, isoniazid, ethambutol and pyrazinamide, the dosages of which were adapted to weight and adjusted according to residual levels.
The evolution was favorable after 2 weeks of treatment with improvement of the clinical condition and clarification of the dialysate liquid. Cultures of peritoneal fluid only came back positive for Mycobacterium tuberculosis 4 weeks after the start of treatment. The PD catheter was not changed, and there was a 10-year follow-up in the PD center.
Case 2:
Mr A. O., 45 years old, in the PD center for undetermined nephropathy since March 2017.
The patient was hospitalized on 11/30/2020 for abdominal pain with cloudy dialysate fluid, all evolving in a context of DGE with asthenia and weight loss amounting to 5 kg in 1 month.
The assessment at admission objectified:
- Inflammatory syndrome with a CRP at 70 mg/l
- Lymphopenia at 700 elements/mm3
- The cytobacteriological examination of the dialysate showed leukocytes at 220 elements/mm3 with lymphocyte predominance. Direct examination and culture were negative. The search for BK on direct examination and by polymerase chain reaction (PCR) of mycobacterial DNA (GeneXpert) in the dialysate was negative.
Abdominal CT showed significant infiltration of peritoneal fat.
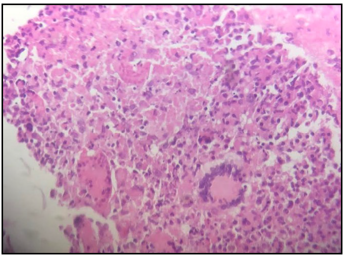
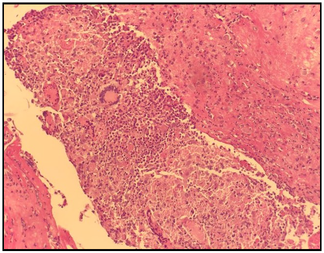
Faced with unfavorable evolution under empirical antibiotic therapy, we decided to withdraw the PD catheter on D+10, with biopsy of the peritoneum, the anatomic pathological examination of which showed a peritoneal coating altered by a granulomatous inflammatory infiltrate made up of epithelioid cells and giant cells with the presence of caseous necrosis (Figure 1andFigure 2).
The diagnosis of peritoneal tuberculosis was retained based on histological criteria, and antituberculosis treatment was started on 12/19/2020. The peritoneal fluid culture come back positive for Mycobacterium tuberculosis only 6 weeks after the start of treatment.
The evolution was favorable under antituberculosis treatment with good clinical and biological tolerance. The patient was placed on temporary hemodialysis while awaiting the placement of a newperitoneal dialysis catheter 6 weeks after the ablation ; during this period he chose hemodialysis as the definitive technique.
Figure 1.Biopsy of the peritoneum showing two granulomas with giant cells.
Figure 2.Biopsy of the peritoneum showing a giant cell granuloma with caseous necrosis.
Case 3:
Mr H. M., 64 years old, has been on hemodialysis for diabetic nephropathy since 2015. He was transferred to peritoneal dialysis in July 2019 due to exhaustion of the vascular access.
The patient was hospitalized on 05/15/2021 for management of abdominal pain with cloudy dialysate fluid, all evolving in a context of apyrexia and AEG with asthenia and anorexia.
The assessment at admission objectified:
- Inflammatory syndrome with a CRP at 145 mg/l
- Lymphopenia at 280 elements/mm3
- The cytobacteriological examination of the dialysate showed leukocytes at 600 cells/mm3, predominantly lymphocyte. The culture was negative.
The search for BK was negative on direct examination of the dialysate. PCR of mycobacterial DNA (GeneXpert) in the dialysate performed on admission came back positive, thus the diagnosis of peritoneal tuberculosis was retained.
The thoraco-abdomino-pelvic scanner showed multifocal pulmonary tuberculosis (multifocal pulmonary (tuberculosis miliar]), lymph node and peritoneal tuberculosis .
Tuberculosis treatment was initiated. The evolution was favorable with clarification of the dialysate liquid 3 weeks after the start of the antibacterial drugs and the PD catheter was not removed. The peritoneal fluid culture was positive for Mycobacterium tuberculosis on Löwenstein-Jensen medium 5 weeks after the start of treatment.
Case 1 | Case 2 | Case 3 | |
|---|---|---|---|
Clinic: Fever -AWL -DGC | YES YES YES | NO YES YES | NO NO YES |
Blood: - Hyperleucocytosis - Lymphopenia - CRP (mg/l) | YES YES 270 | NO YES 70 | NO YES 145 |
Dialysate: - White cells (/ml) - Lymphocyte predominance - Culture - GeneXpert - Delay positivity |
References
Peritonitis Recommendations: 2016 Update on Prevention and Treatment.
PeritDial Int. 2016 9;36(5):481–508.
2. Boudville N, Kemp A, Clayton P, Lim W, Badve SV, Hawley CM, et al. Recent
Peritonitis associates with mortality among patients treated with peritoneal dialysis.
J Am SocNephrol JASN. 2012 ;23(8):1398–405.
3. WORLD HEALTH ORGANIZATION (WHO): Global tuberculosisreport,
20th edition; 2020.
4. Sasaki S, Akiba T, Suenaga M, Tomura S, Yoshiyama N, Nakagawa S, Shoji T, Sasaoka T, Takeuchi J (1979) Dix années d'enquête sur la tuberculose associée au diagnostic.
Néphron 24:141-145
5. Cengiz K (1996) Augmentation de l'incidence de la tuberculose dans patients en hémodialyse.
Néphron 73:421-42
6. NIANG A., DIOUF B., LEYE A., et all. Caractéristiques diagnostiques et thérapeutiques de la tuberculose chez les hémodialysés chroniques à Dakar. Médecine tropicale. 2005; 65 ; 49 – 52.
7. HUSSEIN MM, BAKIR N, BOUJOULEH H - Tuberculosis in patients undergoing maintenance dialysis. Nephrology Dialysis Transplantation. 1990; 5: 584-587.
8. FRANCO M., BENDINI J. C., ALBANO L., et all. Ostéïte tuberculeuse ischiatique et fièvre prolongée chez une hémodialysée. Revue du rhumatisme. 2001; 68(3): 277 – 279.
9. Waness A, Al Shohaib S. Tuberculous peritonitis associated with peritoneal dialysis.
Saudi J Kidney Dis Transpl. 2012;23: 44–47.
10. Abraham G, Mathews M, Sekar L, Srikanth A, Sekar U, Soundarajan P. Tuberculose péritonite dans une cohorte de patients en dialyse péritonéale ambulatoire.
Cadran péritonéal 2001;21(3):S202-4
11. TALWANI R, HORVATH JA.
Tuberculous peritonitis in patients undergoing continuous ambulatory peritoneal dialysis : case report and review.
Clin infect Dis 2000, 31:70-75.
12. PRAKASH K.C.
Tuberculous peritonitis
Perit. Dial. Int. 1999, 19 (suppl 2), 283 – 285
13. Chow KM, Chow VC, Szeto CC. Indication for peritoneal biopsy in tuberculous peritonitis.
Am J Surg 2003;185:567–73.
14. Sanai FM, Bzeizi KI. Systematic review: tuberculous peritonitis,
presenting features, diagnostic strategies and treatment. Aliment Pharmacol
Ther 2005;22:685–700.
15. Pelouse SD, Zumla AI.
Diagnostic de la tuberculose extrapulmonaire par le Test Xpert ® MTB/RIF.
Expert Rev Anti Infect Ther 2012; 10(6): 631–5
16. Chow KM, Chow VC, Szeto CC.
Indication pour la biopsie péritonéale dans la péritonite tuberculeuse.
Am J Surg 2003;185(6):567-73.
17- H.Skhiri, Sanda Mrabet, Wissal Sahtout, Samia Bouraoui, A.Frih, A. Achour , N.Ben Dhia, M. Elmay
Peritonite tuberculeuse en dialyse peritoneale continue ambulatoire (dpca) expérience du service de néphrologie - chu Monastir. Le BDP vol 12 n°2 page 3
18. Talwani R, Horvath JA.
Tuberculous peritonitis in patients undergoing continuous ambulatory peritoneal dialysis: case report and review.
Clin Infect Dis 2000; 31:70–5.
19- Karie S, Launay-Vacher V, Deray G et al. GPR Antibactériens. 2ème Edition. Guide deprescription des médicaments chez le patient insuffisant rénal. Méditions International, 2005, Paris.
20. Milburn H, Ashman N, Davies P et al. British
Thoracic Society Standards of Care Committee and Joint Tuberculosis Committee, Guidelines for the prevention and management of Mycobacterium tuberculosis infection and disease in adult patients with chronic kidney disease. Thorax. 2010;65(6):557-70.
21. Ram R, Swarnalatha G, Akpolat T, Dakshinamurty KV.
Péritonite à Mycobacterium tuberculo us chez les patients atteints de DPCA : a rapport de 11 patients et revue de la littérature. Int Urol Néphrol 2013;45:1129–35
22. CHENG IKP,CHAN PCK,CHAN MK.
Tuberculous peritonitis complicating long -term peritoneal dialysis.
Am J Nephrol 1989, 9:155-161.
23. MALLAT SG, BRENSILVER JM.
Peritonitis in a CAPD patient cured without catheter removal: case report, review of the literature and guidelines for treatment and diagnosis.
Am J Kidney Dis 1989, 13:154-157.
24. TAN D, FEIN PA, JORDEN A, AVRAM MM. Successful treatment of tuberculous peritonitis whilemaintaining patient on CAPD. Adv Perit Dial 1991, 7:102-104.
25. Li PK-T, Szeto CC, Piraino B, Bernardini J, Figueiredo AE,Gupta A et coll. Infections liées à la dialyse péritonéale rec-recommandations. Perit Dial Int 2010; 2010 (30): 393–423)
Downloads
Submitted
Accepted
Published
How to Cite
Issue
Section
License
Copyright (c) 2022 Safae Boughlala

This work is licensed under a Creative Commons Attribution 4.0 International License.






