Maintenance of peritoneal dialysis despite subcutaneous leakage: a case report
DOI:
https://doi.org/10.25796/bdd.v7i3.83813Keywords:
peritoneal dialysis, subcutaneous leakAbstract
(To read the full article, in English or French, click on the pdf logo on the right).
Subcutaneous dialysate leakage is a rare mechanical complication of peritoneal dialysis (PD). It requires an individualized, multidisciplinary approach for effective management. We report the observation of a 33-year-old male patient with end-stage chronic renal failure who developed a subcutaneous leak 4 months after starting PD. Intraperitoneal pressure was elevated to 22 cm H2O. An abdominal computed tomography (CT) scan without injection confirmed diffuse infiltration of the abdominal wall. A CT scan with Gastrografin injection showed extravasation of Gastrografin along the catheter path, locating the dialysate leak at its peritoneal entrance. The management of this leakage was based on reducing the intraperitoneal injection volume with automated PD, and the evolution was favorable.
Introduction
Peritoneal dialysis (PD) is a renal replacement therapy for patients with end-stage renal disease (ESRD). However, as with any treatment, there are complications specific to the method that can be a cause of failure. Subcutaneous leakage is one of the rare mechanical complications specific to PD. It corresponds to a loss of seal in the peritoneal cavity [1]. It often occurs at the start of PD management. The diagnosis is evoked clinically and may be confirmed by specific radiological explorations, such as peritoneography by CT or MRI, or peritoneal scintigraphy [2]. With this in mind, we report the observation of a peritoneal dialysis patient with a subcutaneous leak of dialysate fluid.
Clinical case
This is a 33-year-old overweight patient (weight: 65 kg; height: 1.62 m; body mass index: 27 kg/m²) with chronic end-stage renal failure due to undetermined nephropathy. Initially started on hemodialysis in 2011, he was transferred to Automated Peritoneal Dialysis (APD) due to vascular port exhaustion. The patient benefited from a left PD catheter placement on 2/03/2023, unused for 10 months due to logistical problems and the unavailability of a medical team to start learning the technique in the area where he lives. The patient has benefited from hemodialysis sessions thanks to his latest vascular approach, which is a left femoral tunneled catheter.
On January 15, 2024, we decided to remove PD’s KT, which was non-functional due to fibrin obstruction. Mechanical attempts to clear the obstruction with a syringe were unsuccessful. A second PD KT was placed laparoscopically on the right, and we started automated peritoneal dialysis 15 days later.
Dialysate volumes were gradually increased over one week with a final prescription as follows:
-Total volume: 9L500
-Duration: 10 hours
-4 cycles of 2H02min
-Injection volume: 2000ml
-Volume of last injection:1500ml, using dialysate concentrations of 2.27%
We initially started with isotonic bags, but the patient developed arterial hypertension with edema of the lower limbs, and insufficient ultrafiltration volumes; this led us to change dialysate concentrations to 2.27% bags.
Progress was marked by an improvement in the patient’s clinical condition, with no overload and satisfactory ultrafiltration volumes, a KT/V of 1.4 and a weekly creatinine clearance of 50 liters/week/1.73 m2.
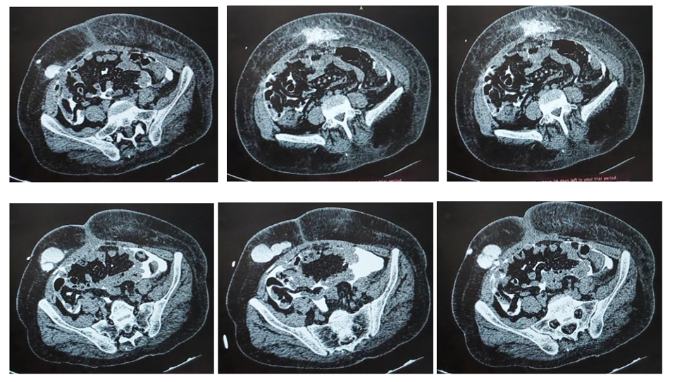
Four months after the start of exchanges, the patient presented with abdominal distension with loss of ultrafiltration (Figure 1.A). Clinical examination revealed a distended, soft, asymmetric abdomen, with a palpable, painless left lateral mass opposite the old left laparoscopic scar, with no leakage at the current emergence site on the right. Intraperitoneal pressure was elevated to 22cmH2O.
Figure 1.
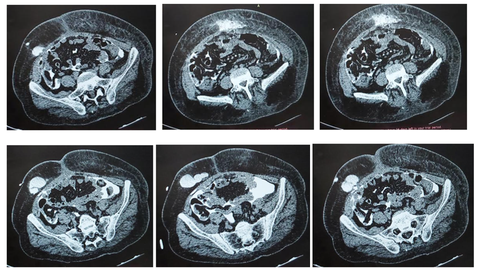
Abdominal ultrasound was unremarkable. A complementary non-injected abdominal CT scan was ordered, showing edematous infiltration of the subcutaneous cellulo-fatty tissues of the abdominal wall lateralized to the left. We supplemented this examination with CT peritoneography with injection of Gastrografine (350 mg/ml) in a volume of 100 ml, diluted in 500 ml of isotonic dialysate fluid and injected intraperitoneally 30 minutes prior to the examination, to confirm subcutaneous leakage. The CT scan showed extravasation of Gastrografine along the catheter on the right, related to a subcutaneous fistula, with diffusion into the cellulo-fatty tissues of the abdominal wall on the left, testifying to a peritoneal seal defect along the path of the new catheter (Figure 2).
Figure 2.Example caption for this image
The diagnosis of subcutaneous leakage of dialysate fluid was accepted. As the patient had no vascular access and was anuric, we decided to maintain the PD technique, increasing the PD duration to 14 hours and the number of cycles, and decreasing the APD injection volume to 1,300 ml with an empty stomach during the day.
The final prescription was as follows:
-Total volume:9l500
-Duration: 2 pm
-7cycles of 1h38min
-Injection volume: 1300ml
-Volume of last injection:200ml, using dialysate concentrations of 2.27%
The evolution was favorable after one week, with progressive regression of the left abdominal infiltration (Figure 1.B).
The patient was seen in consultation three months after the change to the PD program. He was clinically euvolemic, in good general condition, with systolic blood pressure at 120 mmHg and diastolic at 70 mmHg, and stable weight. A mean daily ultrafiltration of 1 l, good purification quality with KT/V at 1.3, weekly creatinine clearance at 51 liters per week per square meter, with no hydroelectrolytic disorders and improved left abdominal infiltration (Figure 1.C).
Discussion
Peritoneal dialysis is one of the most widely used renal replacement therapies for patients with chronic end-stage renal disease. Among the mechanical complications of this technique is leakage of dialysate fluid, which is rare, with multiple localizations, particularly at the emergence site, which is the most frequent localization. [2]
In a study carried out in the nephrology and dialysis department at CHU Ibn Sina in Rabat between 2006 and 2011 on 62 PD patients, the prevalence of mechanical complications was 37%, of which leaks accounted for 8.7%.(3) In another study carried out in Tunisia on 90 APD patients, the prevalence of mechanical complications was 18.8%, of which leaks accounted for 2.2%.[4]
On the other hand, subcutaneous leakage of dialysate fluid remains rare, and exposes the patient to the risk of infection and withdrawal from the technique [2]. We have encountered only one case of subcutaneous leakage since the opening of our peritoneal dialysis center in 2006, out of a total of 239 patients.
Subcutaneous leaks in PD may be discovered in a variety of circumstances, such as weight gain, loss of ultrafiltration, the appearance of an abdominal mass or subcutaneous edema[5].
Diagnosis of certainty is based on specific imaging examinations, notably peritoneography by CT scan with iodinated contrast injection or MRI with gadolinium injection [6], which enable a precise lesion assessment to be made[5][7]. Peritoneal scintigraphy can also be useful for diagnosis, but is not sensitive, and cannot rule out the diagnosis in the absence of leakage images [8].
The main pathogenic mechanism explaining the development of a subcutaneous leak in PD is intra-abdominal hyperpressure, which will exert excessive stress on the abdominal wall, thus favoring leak formation, especially in corpulent patients. A study carried out in 2007 on 61 PD patients demonstrated a positive correlation between PIP and BMI[9]. Another study carried out in 2017 on 49 PD patients demonstrated a positive correlation between a high PIP and the appearance of leaks[10].
Risk factors for the development of subcutaneous leaks in PD include obesity, fragility of the abdominal wall following surgery or the presence of hernias [11]. In addition, tunnelitis and emergence-site infections can compromise the integrity of the abdominal wall and also contribute to the development of leaks.
In our case, subcutaneous leakage can be explained by a peritoneal seal failure after the two laparoscopic PD KT placements, favored by the early onset and high intraabdominal pressure.
The management of subcutaneous leaks in PD must be individualized according to each patient’s specific clinical characteristics and risk factors. In cases of moderate leakage, conservative measures such as suspension of PD with temporary transfer to hemodialysis may be beneficial[12][13]. However, in more severe or refractory cases, surgical cures may be necessary. It has been shown that reducing dialysate volumes can allow recovery from PD leaks, and avoid temporary or permanent transfer to hemodialysis [13].
In our patient, who had exhausted his vascular accesses, we were unable to suspend PD, so we decided to reduce APD injection volumes to lower intraperitoneal pressure. The evolution was marked by the regression of subcutaneous infiltration, with a good clinical and paraclinical evolution. This can be explained either by the persistence of peritoneal tightness, but without clinical repercussions thanks to the modification of the dialysis program and reduction of the dialysate volume, or by the fact that the peritoneum closed spontaneously.
Conclusion
Subcutaneous leakage in PD is a complex and often underestimated mechanical complication of this treatment modality. A proactive approach to the prevention and management of subcutaneous leakage can help improve clinical outcomes and quality of life for patients treated with PD. Further studies are needed to better understand the pathogenic mechanisms and to develop more effective prevention and management strategies.
Conflicts of interest
The authors declare that they have no conflicts of interest in connection with this article.
Roles of the authors
References
- Leblanc M., Ouimet D., Pichette V.. Dialysate leaks in peritoneal dialysis. Semin Dial. 2001; 14(1):50-4.
- Tzamaloukas A.H., Gibel L.J., Eisenberg B., Goldman R.S., Kanig S.P., Zager P.G.. Adv Perit Dial Conf Perit Dial. 1990:64-71.
- Miftah M.. Complications mécaniques de la dialyse péritonéale. Néphrologie Thérapeutique. 2013; 9(5)
- Fattoum S., Barbouch S., Braiek N., Hajji M., Mesbahi T., Ounissi M.. Les complications mécaniques en dialyse péritonéale : une menace à la technique ? Néphrologie Thérapeutique. 2020; 16(5)
- Duquennoy S., Leduc V., Podevin E.. Imaging and leaks in peritoneal dialysis. Bull Dial À Domic. 2021; 4(2):77-84.
- Yavuz K., Erden A., Ateş K., Erden I.. MR peritoneography in complications of continuous ambulatory peritoneal dialysis. Abdom Imaging. 2005; 30(3):362-9.
- Zandieh S., Muin D., Bernt R., Krenn-List P., Mirzaei S., Haller J.. Radiological diagnosis of dialysis-associated complications. Insights Imaging. oct. 2014; 5(5):603-17.
- RH Sosa Barrios, ME Rioja Martín, V Burguera Vion, AL Santos Carreño, M Fernández Lucas, ME Rivera Gorrín. Utility of Peritoneal Scintigraphy in Peritoneal Dialysis Patients: One Center Experience. Kidney360. 2020; 1(5):354-8.
- Dejardin A., Robert A., Goffin E.. Intraperitoneal pressure in PD patients: relationship to intraperitoneal volume, body size and PD-related complications. Nephrol Dial Transplant Off Publ Eur Dial Transpl Assoc - Eur Ren Assoc. mai. 2007; 22(5):1437-44.
- Castellanos L.B., Clemente E.P., Cabañas C.B., Parra D.M., Contador M.B., Morera J.C.O.. Clinical Relevance of Intraperitoneal Pressure in Peritoneal Dialysis Patients. Perit Dial Int J Int Soc Perit Dial. 2017; 37(5):562-7.
- G Del Peso, MA Bajo, O Costero, C Hevia, F Gil, C Díaz. Risk factors for abdominal wall complications in peritoneal dialysis patients. Perit Dial Int J Int Soc Perit Dial. 2003; 23(3):249-54.
- Crabtree J.H., Shrestha B.M., Chow K.M., Figueiredo A.E., Povlsen J.V., Wilkie M.. Creating and Maintaining Optimal Peritoneal Dialysis Access in the Adult Patient: 2019 Update. Perit Dial Int. 2019; 39(5):414-36.
- Jegatheswaran J., Warren J., Zimmerman D.. Reducing intra-abdominal pressure in peritoneal dialysis patients to avoid transient hemodialysis. Semin Dial. mai. 2018; 31(3):209-12.
References
Leblanc M, Ouimet D, Pichette V. Dialysate leaks in peritoneal dialysis. Semin Dial. 2001;14(1):50‑4.
Tzamaloukas AH, Gibel LJ, Eisenberg B, Goldman RS, Kanig SP, Zager PG, et al. Early and late peritoneal dialysate leaks in patients on CAPD. Adv Perit Dial Conf Perit Dial. 1990;6:64‑71.
Miftah M. Complications mécaniques de la dialyse péritonéale. Néphrologie Thérapeutique. 1 sept 2013;9(5):297.
Fattoum S, Barbouch S, Braiek N, Hajji M, Mesbahi T, Ounissi M, et al. Les complications mécaniques en dialyse péritonéale : une menace à la technique ? Néphrologie Thérapeutique. 1 sept 2020;16(5):285.
Duquennoy S, Leduc V, Podevin E. Imaging and leaks in peritoneal dialysis. Bull Dial À Domic. 15 juin 2021;4(2):77‑84.
Yavuz K, Erden A, Ateş K, Erden I. MR peritoneography in complications of continuous ambulatory peritoneal dialysis. Abdom Imaging. 1 juin 2005;30(3):362‑9.
Zandieh S, Muin D, Bernt R, Krenn-List P, Mirzaei S, Haller J. Radiological diagnosis of dialysis-associated complications. Insights Imaging. oct 2014;5(5):603‑17.
Sosa Barrios RH, Rioja Martín ME, Burguera Vion V, Santos Carreño AL, Fernández Lucas M, Rivera Gorrín ME. Utility of Peritoneal Scintigraphy in Peritoneal Dialysis Patients: One Center Experience. Kidney360. 28 mai 2020;1(5):354‑8.
Dejardin A, Robert A, Goffin E. Intraperitoneal pressure in PD patients: relationship to intraperitoneal volume, body size and PD-related complications. Nephrol Dial Transplant Off Publ Eur Dial Transpl Assoc - Eur Ren Assoc. mai 2007;22(5):1437‑44.
Castellanos LB, Clemente EP, Cabañas CB, Parra DM, Contador MB, Morera JCO, et al. Clinical Relevance of Intraperitoneal Pressure in Peritoneal Dialysis Patients. Perit Dial Int J Int Soc Perit Dial. 2017;37(5):562‑7.
Del Peso G, Bajo MA, Costero O, Hevia C, Gil F, Díaz C, et al. Risk factors for abdominal wall complications in peritoneal dialysis patients. Perit Dial Int J Int Soc Perit Dial. 2003;23(3):249‑54.
Crabtree JH, Shrestha BM, Chow KM, Figueiredo AE, Povlsen JV, Wilkie M, et al. Creating and Maintaining Optimal Peritoneal Dialysis Access in the Adult Patient: 2019 Update. Perit Dial Int. 1 sept 2019;39(5):414‑36.
Jegatheswaran J, Warren J, Zimmerman D. Reducing intra-abdominal pressure in peritoneal dialysis patients to avoid transient hemodialysis. Semin Dial. mai 2018;31(3):209‑12.
Downloads
Submitted
Accepted
Published
How to Cite
Issue
Section
License
Copyright (c) 2024 Sara El Maakoul, Kaoutar Darbal, Naima Ouzeddoun, Loubna Benamar

This work is licensed under a Creative Commons Attribution 4.0 International License.






