A rare case of refractory ascites due to aortic regurgitation delaying peritoneal dialysis catheter removal after renal transplantation
DOI:
https://doi.org/10.25796/bdd.v7i4.84793Keywords:
aortic regurgitation, ascites, PD catheter, Left-side heart failure, peritoneal dialysis, peritonitisAbstract
Introduction
Removing the peritoneal dialysis (PD) catheter after transplantation is necessary in order to improve quality of life after transplantation. However, there is no consensus on the best timeframe of PD-catheter removal in transplanted patients. Early removal can lead to the absence of dialysis access in case of graft failure. However, late removal is associated with significant infectious risk given the immunosuppression. Herein, we describe an exceptional case of refractory ascites secondary to aortic regurgitation in a cirrhotic patient, delaying the removal of his PD catheter.
Case report
We describe the case of a 49-year old patient, with Child B cirrhosis and end-stage kidney disease on chronic peritoneal dialysis who benefited from kidney transplantation. The scheduled PD catheter flushes were marked by the drainage of ascitic fluid, leading to the postponement of the PD catheter removal. The ascites, thought to be secondary to his long-known cirrhosis, was refractory to optimal drug treatment and the PD catheter was used to remove ascites periodically. As a transjugular intrahepatic portosystemic shunt was planned, a severe aortic regurgitation was diagnosed. After aortic valve replacement, the ascites completely disappeared, and the PD catheter could be removed.
Discussion
Heart failure represents only 3% of all refractory ascites. Furthermore, left-side heart failure causing ascites but without signs of right-side heart failure has only been described once in the medical literature. Patients with ascites and kidney failure on PD can safely be managed through the PD catheter instead of recurrent paracentesis. However, in transplanted patients especially, keeping the catheter in place brings significant infectious risk.
Conclusion
We described an unusual case of refractory ascites after renal transplantation, due to aortic valve regurgitation. This case highlights the importance of weighing the pros and cons of early PD catheter removal, as PD catheter might be useful as a means of removing ascites.
Introduction
Peritoneal dialysis (PD) accounts for 11% of renal replacement therapy among end-stage kidney disease (ESKD) patients [1]. An increasing number of PD patients eventually undergo kidney transplantation (KT), therefore raising the question of PD catheter removal. However, there is no agreement regarding the best timing to remove the peritoneal dialysis catheter after transplantation. Catheter infection and peritonitis are the major complications of keeping a catheter for longer, especially in transplanted patients on immunosuppressive drugs [2]. It has been suggested that the best period to remove a PD catheter would be between the 30th and 45th day post-transplant [3]. However, no consensus exists in the current medical literature [4]. In fact, in exceptional circumstances, the catheter might never be removed due to unexpected clinical conditions such as recurrent ascites. Herein, we present the case of a PD patient suffering from recurrent ascites after a kidney graft.
Case report
We report the case of a 49-year-old Armenian patient, primarily admitted for a kidney transplantation in July 2018. He presented anuric ESKD on PD due to antiphospholipid syndrome (APS) nephropathy and lupus nephritis diagnosed in 2010. The patient has no history of PD-associated peritonitis. The patient received on a daily basis 4 exchanges (2 L of glucose 1.36% and Nutrineal®) over 8 hours on automated peritoneal dialysis, associated with a long dwell of 1.5L icodextrin. He is also known for high blood pressure, hyperlipidemia, and a MTHFR gene mutation. Our patient presented heart thrombi in 2010 and had a CHILD B cirrhosis secondary to hepatitis C virus infection, auto-immune hepatitis, and presinusoidal portal hypertension due to supra-hepatic veins thrombosis (Budd-Chiari syndrome), along with esophageal varices and portal cavernoma. There is no history of smoking nor chronic alcohol consumption.
After a routine pre-transplant workup, including a cardiac ultrasound without significant valvular dysfunction, doppler ultrasound of the neck and lower limb vessels, electrocardiogram, and pulmonary function tests, he benefited from a deceased donor kidney transplant in 2018 after 8 years of PD treatment and presented immediate graft function with plasmatic creatinine 4.7 mg/dl on day three and 1.7 mg/dl on day eleven. He recovered normal kidney function after three weeks and left the hospital. His daily treatments were Tacrolimus, mycophenolate mofetil, aethylprednisolone, aspirin, acenocoumarol, furosemide, lercanidipine, Tamsulosin, pantoprazole, B9 vitamins and NaHCO3. The removal of the PD catheter was planned in our nephrology unit in ambulatory care. Our institution’s protocol, in accordance with the transplant center we collaborate with, stipulates that the peritoneal dialysis catheter should be removed approximately 1 month after transplantation. We then require the assistance of our vascular surgery colleagues to remove this catheter in the operating room.
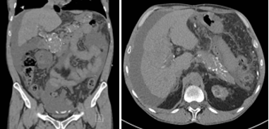
During the next four months, the catheter was flushed twice on a weekly basis and despite not infusing the patient with dialysate, about 1.85 liters of transudate ascites was drained every two days through the peritoneal catheter. Clinical examination showed large abdominal wall venous collaterals, no palpable nodes, muted cardiopulmonary auscultation, no abdominal pain nor lower limb edema at that time. Laboratory tests showed no sign of decompensated cirrhosis (serum albumin of 32 g/l (normal range: 40-49 g/l), Prothrombin time 75% (normal range: 70-100%), c-reactive protein 7mg/l (normal range: <10 mg/l), total bilirubin 1.0 mg/dl (normal range: < 1.2 mg/dl). A liver magnetic resonance imaging and CT scan ( Figure 1) revealed perihepatic ascites, central fibrosis, and preserved permeability of the supra-hepatic veins but signs of chronic obstruction of the portal vein.
Figure 1.Abdominal computed tomography revealing perihepatic and abdominal ascites. The peritoneal dialysis catheter is still in place.
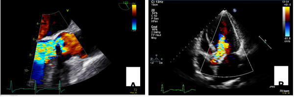
Figure 2.Doppler echocardiography revealed a severe transvalvular aortic regurgitation.
A FibroScan with a fibrosis score of F2 indicates moderate liver fibrosis. A gastroscopy confirmed the presence of varicose veins and global gastropathy due to portal hypertension. A Holter monitor did not reveal any arrhythmia. The patient was put on oral furosemide and spironolactone. Given that the ascites was recurrent despite optimal drug treatment, a multidisciplinary staff considered placing a transjugular intrahepatic portosystemic shunt (TIPS). The pre-intervention trans-thoracic and trans-esophageal echocardiogram ( Figure 2) unexpectedly showed a severe aortic regurgitation due to degenerative valve disease and a dilated left ventricle (Vtd 208,2ml with norms 50-90 mL/m2) with preserved left and right ventricles ejection fractions, without dilated right cavities and without pericardial effusion. The patient had his aortic valve replaced by a mechanical valve almost one year after his transplantation. Our patient underwent 1 episode of staphylococcus aureus peritonitis with evidence of tunnelitis. He had to be hospitalized for IV vancomycin and cephalosporine. A final 350 ml of ascitic fluid was removed 12 months after kidney transplantation. The PD catheter was removed 4 months later. The patient did not relapse his ascites in 3 years.
Discussion
Kidney transplantation is known to decrease the mortality of patients suffering from end-stage kidney disease (ESKD), helping patients to return to an almost normal life after peritoneal dialysis (PD). This freedom comes with setting the patient free from all devices used for dialysis, including the peritoneal catheter.
Ascites is a pathological accumulation of fluid in the peritoneal cavity. This condition is known in numerous pathologies and has a broad, transversal, and multidisciplinary differential diagnosis [5]. Considering cirrhosis and cancers are responsible for approximately 90% of all ascites, clinicians sometimes overlook rarer causes as right heart failure, tuberculosis, and pancreatic diseases. Notably, ESKD has also been associated with recurrent ascites [6].
The medical management of ascites includes salt and water restriction most of the time in addition with diuretic medications. The current standard of care for refractory ascites is serial, large-volume paracentesis or surgical placement of a TIPS [7]. Therefore, patients with ascites and kidney failure can safely be managed with PD, through the PD catheter instead of recurrent paracentesis [8]. Patients report complete remission of their ascites-related symptoms, enjoy an improved quality of life, and can perform the procedure independently with excellent technique survival [9].
Heart failure represents only 3% of all refractory ascites and is mostly secondary to right heart failure. Ascites secondary to aortic regurgitation without pulmonary manifestations is a rarity, unless associated with pulmonary hypertension, severe tricuspid regurgitation, and right ventricular failure. To our knowledge, there is only 1 case report ever published on this association [10].
Coming back to our patient, portal hypertension secondary to Budd-Chiari syndrome and multiple thrombosis due to APS (and/or cirrhosis, lupus, MTHFR deficiency) were long believed to be the sole causes of his recurrent ascites. However, after aortic valve replacement, the ascites disappeared, and the PD catheter could be removed. The aortic regurgitation seemed to have played a primordial role in the recurrence of the ascites.
In cirrhosis, there is usually significant vasodilation of the splanchnic circulation that results in flooding of the splanchnic arterial tree. The increased blood flow leads to elevation of the hydrostatic pressure which, added to a reduction of renal blood flow due to vasoconstriction, leads to water and sodium retention [11], [12]. A similar mechanism may be considered in severe aortic regurgitation linked to the increased stroke volume that results in overflow of the splanchnic circulation. The fact that aortic valve replacement cured the recurrent ascites supports this hypothesis.
In the context of recurrent ascites and long-term PD, it is important to be clinically aware of the possibility of encapsulating peritoneal sclerosis (EPS), even many years after stopping PD. EPS occurs more often after withdrawal from PD and cases have been reported up to 5 years after PD cessation.
Our patient displayed several risk factors for EPS, a rare however severe complication of long-term PD. Indeed, EPS usually occurs in patients on PD for more than 5 years, and Progressive loss of osmotic conductance to glucose (e.g. altered sodium sieving) may be a risk factor of EPS [13]. Our patient was on PD for 8 years and did not exhibited any alteration in sodium sieving (i.e. decrease in dialysate sodium concentration of 7 mmol/l with hypertonic glucose solution), with a PET test displaying a dialysate-to-plasma creatinine concentration of 0.67 (i.e. fast average) and a 4-hour dialysate-to-0-hour dialysate glucose concentration of 0.40 (i.e. fast average).
The diagnosis of EPS is clinical (abdominal pain, weight loss, malnutrition, diarrhea, bloody ascites, etc.), and clinicians can confirm it using a CT scan [13]. Our patient did not present any symptoms or imaging suggestive of EPS. Also, the fact that ascites resolved after cardiac surgery did not favor EPS.
According to the most recent evidence put forward by the 2022 International Society for Peritoneal Dialysis (ISPD) review on prevention and treatments of PD-associated peritonitis in 2022, our patient was at higher risk of developing PD catheter-related infections due to his immunosuppressive treatments, cardiovascular disease, lupus nephritis, portal hypertension, repetitive antibiotics use [14][15]. Subsequently, he suffered from peritonitis due to a cutaneous germ.
The earlier the PD catheter is removed, the less likely the patient is to develop complications, especially when PD is permanently stopped. Furthermore, the earlier the PD catheter is removed, the better the renal recovery after renal transplantation [1]. However, there is no consensus nor high evidence in medical literature on the appropriate timeframe to remove a PD catheter after kidney transplantation.
The incidence of delayed graft function (DGF), defined as the need for renal replacement therapy within the first week posttransplantation, is increasingly common. In this situation, some authors have suggested peritoneal dialysis as a safe option to replace kidney function, perhaps safer than hemodialysis considering the avoidance of central line. Peritoneal dialysis could favor rapid renal recovery after kidney transplant [16]. Some authors propose leaving the PD catheter in situ when surgically feasible in patients who do not have the peritoneum cavity breached during transplant surgery and who are predicted to have DGF and performing low-volume supine PD using a cycler if dialysis is needed [17].
According to the European Best Practice Guidelines (EBPG) for Peritoneal Dialysis, the catheter can be left in situ for 3-4 months despite a functional graft [18]Historically, clinicians were divided between removing the catheter soon after transplantation, with a risk of graft failure, or late, resulting in an increased infectious risk. In 2019, a retrospective study calculated a best timeframe between 30- and 45-day post-transplantation [3]. Nowadays, the average time to remove the PD catheter ranges from 17 to 80 days after transplantation [2]which carries considerable infectious risks.
Some authors have shown that simultaneous transplantation and removal of PD catheters can be a safe option [19]. Indisputably, the decision to remove the PD catheter intraoperatively should be reserved in the first place to the transplant surgeon, especially if the peritoneal membrane was breached intraoperatively or if there was any surgical issue related to contamination with keeping the indwelling PD catheter in situ [17]. However, more studies are needed to better define patients who can benefit from PD catheter removal at the time of kidney transplantation.
Conclusion
Aortic regurgitation is a very rare cause of ascites that has only been once described in the past. Our case should remind clinicians to consider left-side heart failure as a potential etiology of refractory and unexplained ascites after the exclusion of common causes. This case then allowed us to apprehend a topic that is still not supported by strong levels of evidence to this day. Indeed, there are still no guidelines about the PD catheter’s future after kidney transplantation and an individualized policy regarding catheter removal is of application. The risk of infection is at the forefront in patients with longstanding peritoneal dialysis catheters, further studies are needed to best assess when the PD catheter should be removed after transplantation.
PD catheter removal at the time of KT should be considered, especially when the risk of late graft function is low (e.g. living donors) or when the risk of PD catheter-related infections is high. Catheter removal soon after transplantation appears to be a safe infectious bet in the general PD population, but in cirrhotic patients, discontinuation of PD exchanges may reveal hidden ascites. A PD catheter might then be useful as a means of removing ascites.
Conflicts of interest
The authors declare no conflict of interest regarding the making of this study.
Funding
The authors received no financial support for the research, authorship, and/or publication of this article.
Data availabilité statement
All data generated or analyzed during this study are included in this article. Further
inquiries can be directed to the corresponding author.
Author contributions
We declare each author in full agreement with what is written in the article. JA and LJ wrote the manuscript. JN and MD offered their supervision in the writing and content.
References
- Li P.K.-T., Chow K.M., Luijtgaarden M.W.M., Johnson D.W., Jager K.J., Mehrotra R.. Changes in the worldwide epidemiology of peritoneal dialysis. Nat Rev Nephrol. 2017; 13:90-103.
- Zawistowski M., Nowaczyk J., Domagała P.. Peritoneal dialysis catheter removal at the time or after kidney transplantation: a systematic review and meta-analysis. Langenbecks Arch Surg. 2022; 407:2651-62.
- Peluso G., Incollingo P., Carlomagno N., D’Alessandro V., Tammaro V., Caggiano M.. Our Timing to Remove Peritoneal Catheter Dialysis After Kidney Transplant. Transplant Proc. 2019; 51:160-3.
- Pampa-Saico S., Caravaca-Fontán F., Burguera-Vion V., Nicolás V.D., Yerovi-León E., Jimenez-Álvaro S.. Outcomes of Peritoneal Dialysis Catheter Left In Place after Kidney Transplantation. Perit Dial Int. 2017; 37:651-4.
- Oey R.C., Buuren H.R., Man R.A.. The diagnostic work-up in patients with ascites: current guidelines and future prospects. Neth J Med. 2016; 74:330-5.
- Hammond T.C., Takiyyuddin M.A.. Nephrogenic ascites: a poorly understood syndrome. J Am Soc Nephrol. 1994; 5:1173-7.
- Wong F.. Management of ascites in cirrhosis. J Gastroenterol Hepatol. 2012; 27:11-20.
- Vecchi AFP Colucci, F Salerno, A Scalamogna, C Ponticelli. Outcome of peritoneal dialysis in cirrhotic patients with chronic renal failure. Am J Kidney Dis. 2002; 40:161-8.
- Monsky W.L., Yoneda K.Y., MacMillan J., Deutsch L.-S., Dong P., Hourigan H.. Peritoneal and pleural ports for management of refractory ascites and pleural effusions: assessment of impact on patient quality of life and hospice/home nursing care. J Palliat Med. 2009; 12:811-7.
- Jenkinson C., Rajaratnam S., Joshi P., Passage J.. Refractory ascites - a rare presentation of severe aortic regurgitation. Heart Lung Circ. 2014; 23:e8-9
- Ginès P., Fernández-Esparrach G., Arroyo V., Rodés J.. Pathogenesis of ascites in cirrhosis. Semin Liver Dis. 1997; 17:175-89.
- Sacerdoti D., Bolognesi M., Merkel C., Angeli P., Gatta A.. Renal vasoconstriction in cirrhosis evaluated by duplex Doppler ultrasonography. Hepatology. 1993; 17:219-24.
- Brown E.A., Bargman J., Biesen W., Chang M.-Y., Finkelstein F.O., Hurst H.. Length of Time on Peritoneal Dialysis and Encapsulating Peritoneal Sclerosis - Position Paper for ISPD: 2017 Update. Perit Dial Int. 2017; 37:362-74.
- Li P.K.-T., Chow K.M., Cho Y., Fan S., Figueiredo A.E., Harris T.. ISPD peritonitis guideline recommendations: 2022 update on prevention and treatment. Perit Dial Int. 2022; 42:110-53.
- Taghavi M., Dratwa M.. Overview of ISPD 2022 guideline recommendations for peritonitis prevention and treatment. Bulletin de la Dialyse à Domicile. 2022; 5:93-103.
- Gardezi A.I., Muth B., Ghaffar A., Aziz F., Garg N., Mohamed M.. Continuation of Peritoneal Dialysis in Adult Kidney Transplant Recipients With Delayed Graft Function. Kidney Int Rep. 2021; 6:1634-41.
- Issa N., Lakhani L.. Peritoneal Dialysis for Delayed Graft Function After Kidney Transplantation: To Do or Not to Do?. Kidney Int Rep. 2021; 6:1494-6.
- Dombros N., Dratwa M., Feriani M., Gokal R., Heimbürger O., Krediet R.. European best practice guidelines for peritoneal dialysis. 9 PD and transplantation. Nephrol Dial Transplant. 2005; 20 Suppl 9:ix34–5
- Parks R.M., Saedon M.. Outcomes of removal of peritoneal dialysis catheter at the time of renal transplant. Saudi J Kidney Dis Transpl. 2021; 32:415-7.
References
Li PK-T, Chow KM, Van de Luijtgaarden MWM, Johnson DW, Jager KJ, Mehrotra R, et al. Changes in the worldwide epidemiology of peritoneal dialysis. Nat Rev Nephrol. 2017;13:90–103. DOI: https://doi.org/10.1038/nrneph.2016.181
Zawistowski M, Nowaczyk J, Domagała P. Peritoneal dialysis catheter removal at the time or after kidney transplantation: a systematic review and meta-analysis. Langenbecks Arch Surg. 2022;407:2651–62. DOI: https://doi.org/10.1007/s00423-022-02637-y
Peluso G, Incollingo P, Carlomagno N, D’Alessandro V, Tammaro V, Caggiano M, et al. Our Timing to Remove Peritoneal Catheter Dialysis After Kidney Transplant. Transplant Proc. 2019;51:160–3. DOI: https://doi.org/10.1016/j.transproceed.2018.04.075
Pampa-Saico S, Caravaca-Fontán F, Burguera-Vion V, Nicolás VD, Yerovi-León E, Jimenez-Álvaro S, et al. Outcomes of Peritoneal Dialysis Catheter Left In Place after Kidney Transplantation. Perit Dial Int. 2017;37:651–4. DOI: https://doi.org/10.3747/pdi.2017.00031
Oey RC, van Buuren HR, de Man RA. The diagnostic work-up in patients with ascites: current guidelines and future prospects. Neth J Med. 2016;74:330–5.
Hammond TC, Takiyyuddin MA. Nephrogenic ascites: a poorly understood syndrome. J Am Soc Nephrol. 1994;5:1173–7. DOI: https://doi.org/10.1681/ASN.V551173
Wong F. Management of ascites in cirrhosis. J Gastroenterol Hepatol. 2012;27:11–20. DOI: https://doi.org/10.1111/j.1440-1746.2011.06925.x
De Vecchi AF, Colucci P, Salerno F, Scalamogna A, Ponticelli C. Outcome of peritoneal dialysis in cirrhotic patients with chronic renal failure. Am J Kidney Dis. 2002;40:161–8. DOI: https://doi.org/10.1053/ajkd.2002.33925
Monsky WL, Yoneda KY, MacMillan J, Deutsch L-S, Dong P, Hourigan H, et al. Peritoneal and pleural ports for management of refractory ascites and pleural effusions: assessment of impact on patient quality of life and hospice/home nursing care. J Palliat Med. 2009;12:811–7. DOI: https://doi.org/10.1089/jpm.2009.0061
Jenkinson C, Rajaratnam S, Joshi P, Passage J. Refractory ascites - a rare presentation of severe aortic regurgitation. Heart Lung Circ. 2014;23:e8-9. DOI: https://doi.org/10.1016/j.hlc.2013.06.003
Ginès P, Fernández-Esparrach G, Arroyo V, Rodés J. Pathogenesis of ascites in cirrhosis. Semin Liver Dis. 1997;17:175–89. DOI: https://doi.org/10.1055/s-2007-1007196
Sacerdoti D, Bolognesi M, Merkel C, Angeli P, Gatta A. Renal vasoconstriction in cirrhosis evaluated by duplex Doppler ultrasonography. Hepatology. 1993;17:219–24. DOI: https://doi.org/10.1002/hep.1840170210
Brown EA, Bargman J, van Biesen W, Chang M-Y, Finkelstein FO, Hurst H, et al. Length of Time on Peritoneal Dialysis and Encapsulating Peritoneal Sclerosis - Position Paper for ISPD: 2017 Update. Perit Dial Int. 2017;37:362–74. DOI: https://doi.org/10.3747/pdi.2017.00018
Li PK-T, Chow KM, Cho Y, Fan S, Figueiredo AE, Harris T, et al. ISPD peritonitis guideline recommendations: 2022 update on prevention and treatment. Perit Dial Int. 2022;42:110–53. DOI: https://doi.org/10.1177/08968608221080586
Taghavi M, Dratwa M. Overview of ISPD 2022 guideline recommendations for peritonitis prevention and treatment. Bulletin de la Dialyse à Domicile. 2022;5:93–103. DOI: https://doi.org/10.25796/bdd.v5i2.66753
Gardezi AI, Muth B, Ghaffar A, Aziz F, Garg N, Mohamed M, et al. Continuation of Peritoneal Dialysis in Adult Kidney Transplant Recipients With Delayed Graft Function. Kidney Int Rep. 2021;6:1634–41. DOI: https://doi.org/10.1016/j.ekir.2021.03.899
Issa N, Lakhani L. Peritoneal Dialysis for Delayed Graft Function After Kidney Transplantation: To Do or Not to Do? Kidney Int Rep. 2021;6:1494–6. DOI: https://doi.org/10.1016/j.ekir.2021.04.008
Dombros N, Dratwa M, Feriani M, Gokal R, Heimbürger O, Krediet R, et al. European best practice guidelines for peritoneal dialysis. 9 PD and transplantation. Nephrol Dial Transplant. 2005;20 Suppl 9:ix34–5.
Parks RM, Saedon M. Outcomes of removal of peritoneal dialysis catheter at the time of renal transplant. Saudi J Kidney Dis Transpl. 2021;32:415–7. DOI: https://doi.org/10.4103/1319-2442.335453
Downloads
Submitted
Accepted
Published
How to Cite
Issue
Section
License
Copyright (c) 2024 Joseph Antoun, Lucas Jacobs, Isabelle Brayer, Maxime Taghavi, Joëlle Nortier

This work is licensed under a Creative Commons Attribution 4.0 International License.






